복부 초음파 검사, 치료 담석증 증상(통증, 방사통),

담석증의 증상, 초음파 검사, 치료에 대해 알아보도록 합시다.지난 포스팅에서 담석의 종류와 종류별 원인에 대해 조사해 보았습니다만, 궁금하다면 아래를 클릭해 주십시오.

https://blog.naver.com/komeon92/222273289165 담석의 종류와 종류별 원인에 대해 알아보겠습니다.담낭과 담석담석은 담즙 내 구성 성분이 응결, 침착되는.blog.naver.com

담석증 증상

담낭 주위의 해부학도와 같이 담낭관, 총담관에 결석이 걸리면 평활근은 수축을 통해 어떻게든 통과시키려 하기 때문에 명치나 오른쪽 겨드랑이에 심한 통증이나 중압감이 유발됩니다.특히 비만인 여성이 기름진 음식을 먹고 명치 부위의 통증을 호소한다면 담석 발작을 의심해볼 필요가 있습니다.

담석증 방사통, 심한 통증이 갑자기 나타나 1~4시간 지속되며 메스꺼움, 구토를 동반하기도 합니다.오른쪽 어깨와 견갑 부위(날개뼈)에 방사통이 나타날 수 있습니다.발열이 있으면 담낭염, 담관염일 가능성이 높고 황달이 반드시 일어나는 것은 아닙니다.정상이면 담도 내에 세균은 존재하지 않지만 고령이나 담석이 있는 경우는 대장균, 녹농균 감염의 기회가 생깁니다.

Murphy’s sign 특징적인 복진 소견으로 담석증의 Murphy 징후가 있습니다.오른쪽 늑골궁을 압박한 상태에서 환자에게 심호흡을 시키면 숨을 들이마시고 통증으로 숨을 멈춥니다.

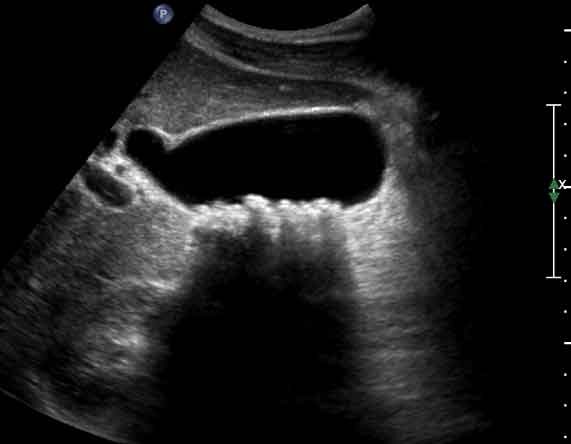
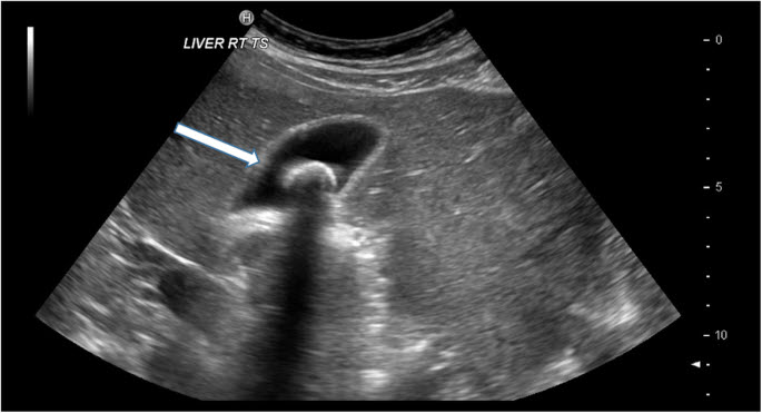
담석증 검사-복부 초음파 검사-담석은 CT나 X레이로도 확인하기 어려운 경우가 많으며, 1차 검사는 복부 초음파 검사입니다.

담석의 복부 에코 영상 초음파 소견에서 간과해서는 안 될 것은 음향 그림자(acoustic shadow)입니다.

담석치료1) 담석 녹여 주십시오. 법 UDCA, CDCA를 경구 투여합니다.콜레스테롤 담석은 담즙산이나 lecithin이 부족할 때 생길 수 있는데 담즙산 유사물질인 UDCA, CDCA는 담석에서 콜레스테롤을 빼앗아 미포(micelle)를 형성해 배출시키는 작용을 합니다.

2) 내시경 유두괄약근절개술(EST), 내시경 유두부풍선확장술(EPBD)

유두부는 총담관이 췌관과 함께 십이지장으로 통하는 부위를 말합니다.십이지장에서 총담관으로 들어갈 때 유두괄약근을 절개하거나 풍선으로 확장하는 방법입니다.담관 결석에 좋은 적응이 됩니다.

3) 체외 충격파 쇄석술 충격파를 한 점에 모아 담석을 깨는 방법입니다.파쇄를 한 후에는 내시경으로 회수를 하거나 담석용 해제를 복용합니다.직경이 3센티미터 이하이고 갯수가 3개 이하로 제한합니다.

error: Content is protected !!